珍妮塔·理查兹非常激动自己怀孕了,但这并不是她晕倒的原因。
她非常喜欢孩子,所以在当地的幼儿园担任助教,她一直想要自己的孩子。她已经尝试怀孕六年了,但直到七周前,除了因为一个出轨的男友得了衣原体感染外,她的努力一无所获。她看到家用验孕棒上的粉色条纹时非常兴奋。但她很谨慎,而且有点迷信,所以她因为担心流产而推迟了预约产科医生。毕竟,在她错过月经一个月后,她曾出现过点滴出血的情况,而且在过去三周里,她的痉挛一直在加剧。此外,她已经32岁了,比她住在芝加哥南部街区的邻居中大多数初次当母亲的女性都要大。
那天下午,珍妮塔还没有打电话给她的医生,这时她感到骨盆处一阵撕裂般的疼痛。她努力地为孩子们保持微笑,但她很害怕自己会失去孩子。在她失去意识的那一刻,她脸上一直挂着笑容。
当救护车将她送到库克县医院急诊科门口时,即使是医学生也清楚珍妮塔情况危急。她几乎没有意识,尽管急救人员在送她来学校的路上已经给她输了静脉液体。她光滑的黑皮肤呈现出灰白色。她的脉搏很快。护士用自动血压计找不到她的血压读数,当她用听诊器检查时,血压仅为70/40。珍妮塔处于休克状态。
她没有告诉任何人她怀孕了,所以急诊室医生花了一段时间才弄清楚她为什么会死亡,但只有少数几种疾病会导致一个健康女性出现休克。排除感染后,妊娠并发症位居首位。在导尿管的帮助下进行的尿液妊娠试验证实了诊断,我被叫下来与妇科手术团队会合。
我们初步检查证实珍妮塔的状况非常糟糕。从她腹部的感觉来看,我能判断出她是腹胀,那是血液而不是怀孕引起的。每次有人触碰她的腹部,她都会抽搐一下,这是血液刺激腹膜的反应。当急诊科工作人员给她输血时,她会清醒过来,但每次输液停止换下一袋血时,她又会再次失去意识。所有迹象都表明是异位妊娠破裂。
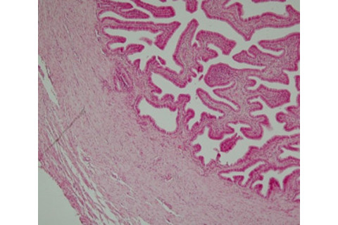
当受精卵着床在子宫内膜以外的地方,通常是在输卵管内时,就称为异位妊娠。输卵管的表面通常呈天鹅绒状,衬有扫动卵子向子宫和上升的精子移动的绒毛。其他细胞为卵子提供营养,并提供帮助其成熟的化合物。但是,子宫内膜异位症或衣原体、淋病等感染会导致部分绒毛粘连在一起,形成陷阱卵子的囊袋。如果受精,卵子会在原地生长,通过侵蚀输卵管壁的胎盘组织来支撑自己,并通过释放刺激新血管形成的化学物质来维持。与子宫不同,输卵管壁缺乏弹性。随着胚胎的生长,输卵管壁会拉伸直到破裂,通常在6到10周后。扩张的血管破裂,血液流入腹腔。如果不及时治疗,女性往往会死亡。

通过显微镜看到的输卵管特写。| (图片由Jagiellonian大学医学院提供)
Jagiellonian大学医学院
通常情况下,异位妊娠会在怀孕妇女出现点滴出血或疼痛时被诊断出来。超声波检查会显示子宫是空的,有时骨盆腔内有因血液泄漏而积聚的液体,有时输卵管某处会有一个着床妊娠的肿块。当超声波检查不清晰时,会检查妊娠激素水平以获取线索。由于异位妊娠发生在不适合孕育胚胎的组织中,生长缓慢,激素水平无法正常升高,通常可以在最初的八周内诊断出来。在这些情况下,可以使用甲氨蝶呤(一种对生长中的胎儿组织有剧毒的化疗药物)以微创的方式终止妊娠;该手术通常不会妨碍再次怀孕。在含糊不清的情况下,可以使用腹腔镜检查——一种将微型摄像机和工具插入患者体内的手术——来诊断妊娠部位并进行治疗。然后,外科医生会切开输卵管吸出与妊娠相关的组织,并用热量封闭血管以控制出血。
珍妮塔的异位妊娠既不早期也不含糊不清——但当时是星期五晚上,当我们打电话给手术室要求一个房间时,所有团队都在忙于处理创伤病例。为了说明情况的紧急性,我们进行了子宫后穹窿穿刺术,将一根针穿过宫颈后方薄薄的阴道肌肉层,当异位妊娠出血时,血液会在此处汇集。注射器充满了血液。这说服了手术室护士为我们腾出一个手术室。
当我们打开珍妮塔的腹部时,起初我们只看到血块。我们取出了三夸脱(约2.7升)血液,超过了她一半的血容量。清除后,我们将她的子宫拉入手术视野,看到了问题。大多数异位妊娠着床在输卵管薄壁的卵巢和子宫之间。在珍妮塔的病例中,卵子几乎到达了子宫内部,但却着床在子宫本身的肌肉壁内。那里的肌肉已经破损,被生长中的胚胎的压力撑开了,子宫动脉正在出血。
手术解决方案很简单。我们切除了撕裂的肌肉和胚胎组织及胎盘的碎片,然后将子宫的右侧缝合起来。缝线夹住了动脉,止住了出血。不幸的是,手术缝线也切断了输卵管末端与子宫腔之间的连接,就像输卵管结扎术一样。在别人身上,仍然可以通过左侧输卵管怀孕。但对珍妮塔来说不行。输卵管的开口通常是柔软而海绵状的,以便在排卵后收集卵子,但珍妮塔的左侧输卵管因衣原体感染引起的炎症而粘连关闭。
珍妮塔将永远无法在不借助体外受精技术的情况下怀孕,而这项技术很少被公共保险覆盖。但在两个月后,她回到了幼儿园,照顾她的孩子们。
斯图尔特·马萨德是伊利诺伊州南方大学医学院妇科肿瘤学部门主任,位于斯普林菲尔德。生命体征中的案例是真实的,但姓名和其他细节已作更改。















