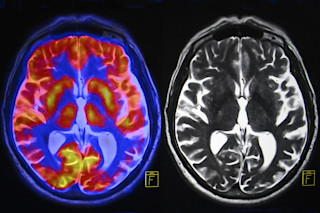
所有成瘾性药物都在大脑内起作用,但它们产生的欣快感往往是有代价的。有些药物会导致大脑损伤,引发癫痫或中风,甚至直接对脑细胞产生毒性作用。
广告
例如,可卡因会导致大脑出现微小中风,在大脑的神经回路中形成坏死点。并且,毒瘾在一定程度上被定义为它能够引起大脑的长期变化。这些变化会影响大脑的不同回路,包括那些控制快乐、压力、冲动控制、学习和记忆的回路。
多年来,研究人员一直致力于对抗这些变化,利用大脑的适应和修复能力。由于大脑具有“可塑性”,或者说能够适应和改变,它可以利用其他神经回路来执行被受损细胞禁用的功能。
科学家们正在治疗与药物相关的脑损伤方面取得进展。今年早些时候,研究人员能够在服用酒精的青少年大鼠身上逆转大脑炎症,甚至逆转神经细胞的损伤。
阅读更多














