
如果你的血管不断堆积钙化,导致行走困难,而医生却因为不知道你患的是什么病或如何治疗而束手无策,你会怎么做?2008年之前,你几乎没有选择,但多亏了美国国立卫生研究院(NIH),现在你至少有了一个选择:前往“未诊断疾病项目”——一个专门攻克其他医院束手无策的疑难杂症的医疗研究项目。该项目位于马里兰州贝塞斯达,自成立以来已收到超过1700份转介病例,但只接受了330份。他们首例病例的结果本周发表在《新英格兰医学杂志》上,但这一切都始于医生们的困惑和一些令人费解的X光片。
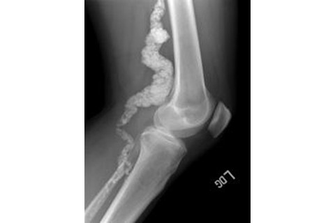
2009年,该项目收到了一位肯塔基州医生的转介,涉及两位患有关节疼痛的姐妹,Paula Allen和Louise Benge,她们的X光片显示动脉有钙沉积……“这些图像让我们震惊,”[项目主任William] Gahl说。研究团队获得了这对姐妹和其他家庭成员(Allen和Benge的三个兄弟姐妹患有同样的隐性疾病)的DNA样本,并扫描DNA寻找称为单核苷酸多态性的标记,研究人员利用这些标记来缩小疾病基因的位置。通过研究另外两个患有类似疾病的家庭的这个基因区域,研究人员能够确定一个特定基因NT5E的突变,该基因参与动脉钙化的分解。[ScienceInsider]
这种新的遗传病被命名为ACDC(抱歉,音乐迷们),代表“CD73缺乏引起的动脉钙化”。研究人员认为这次调查和诊断是该项目的一项重大成就。
“这样的成功在情感上鼓舞了我们,也激励了我们,”项目主任兼研究合著者William Gahl(他也是NIH临床中心的负责人)周二在新闻发布会上说。[ScienceInsider]
但专家们尚未找到有效治疗这种疾病的方法,因此对这两姐妹来说,这项突破是苦乐参半的。
Allen和Benge称赞NIH的工作“令人印象深刻”。“即使他们不能帮助我们,也许有一天他们能帮助其他人解决这些问题,”Benge说。[ScienceInsider]
她们的希望寄托在NIH目前正在进行的工作上:一项旨在治疗ACDC的临床试验,该试验也有潜力治疗其他疾病,如动脉粥样硬化。ACDC的治疗不仅仅会造福这对姐妹:已有九人被诊断出患有此病。NIH项目的益处不止于此,华盛顿大学遗传学家Michael Bamshad解释道:
“可能有数百甚至数千种具有相同潜力的综合征等待被发现。”[Nature]
除了攻克首例病例的喜悦,以及未来可能攻克更多病例的潜力之外,未诊断疾病项目还代表着更多。
Gahl博士说:“患有罕见疾病的患者常常被医学界遗弃。如果我们没有诊断,我们就不知道如何治疗。我们社会对待被遗弃者的态度,衡量的是我们社会的价值。这反映了我们的社会如何对待我们中最贫困的人。”[New York Times]
相关内容:80beats:胎儿的遗传性疾病能否通过母亲的干细胞治愈? 80beats:人类基因组十年:它实现了什么——又未能实现什么 80beats:大型自闭症研究揭示新的遗传线索,但也带来令人费解的复杂性 Discoblog:名字的含义?真正的疾病也饱受“傻名字综合征”的困扰 DISCOVER:是时候发起一场新的全球儿童疾病战争了 DISCOVER:Hank Greely警告个人基因组学的风险图片:NHGRI/NIH













