在哈佛大学读研究生时,我与有史以来最具影响力的行为科学家之一B. F. 斯金纳共事。从1977年夏天开始,我们几乎每天都一起工作,持续了四年多,设计实验,聊文学、哲学和最新研究。尽管我们年龄相差50岁,但我们也是朋友。我们一起看过《星球大战》,经常在哈佛广场共进午餐,每年夏天都在他家的后院游泳。“弗雷德”(来自伯尔赫斯·弗雷德里克)斯金纳是我所认识的最快乐、最有创造力、最富有成效的人。不用说,他也非常聪明。
但我认识的这位七旬老人早已过了他的智力巅峰。有一天,他给了我一套他与心理学家卡尔·罗杰斯在1962年进行的一场著名辩论的录音带。录音带中的斯金纳似乎比我认识的他更敏锐、更迅速,甚至更机智。这是我的想象吗?
最近,加州大学圣地亚哥分校的学生吉娜·柯基什和我分析了斯金纳三次可比较的演讲样本录音带:1962年的那场辩论,1977年的一场辩论,以及他于1990年去世(86岁)前不久根据笔记发表的一次演讲。我们发现,他的语速随时间显著下降,从第一个样本的每分钟148个词降至第二个样本的137个,再到第三个样本的106个——总体下降了28%以上。
在我认识斯金纳的那些年里,他的记忆力和分析能力也在下降。有时他甚至不记得我们几天前刚进行过的谈话。当我试图和他谈论他职业生涯早期发表的技术论文时,他常常似乎不明白自己写了什么。他对任何数学方面的东西都没有耐心,甚至包括他自己的方程式。另一方面,斯金纳仍然比我认识的大多数同龄人聪明得多。当你从足够高的悬崖跌落时,你仍然会在离地面很远的地方停留很长时间。
可悲的事实是,即使是正常的衰老,也会对我们的学习和记忆能力、处理信息的速度以及推理能力产生毁灭性影响。最近的研究表明,从青少年时期到老年,由于萎缩——细胞退化导致的组织萎缩——导致的总脑容量损失达15%或更多,这意味着到我们七十多岁时,我们的大脑会缩小到我们2到3岁时的尺寸。不幸的是,大部分损失发生在灰质中,灰质是大脑中由神经元组成的极其重要的部分,神经元是传递信号以维持我们呼吸和思考的细胞。
与科学家们长期以来的看法相反,成年后只有大约10%的神经元会死亡。真正的损失在于连接网络——“树突树”,它允许单个神经元与数千个其他神经元连接。多年来,这个网络中有25%或更多消失了。根据加州大学伯克利分校的神经科学家威廉·贾古斯特的说法,成年人还会以每十年5%到8%的速度失去多巴胺,这是一种关键的神经递质(一种参与神经元间信号传递的化学物质)。“到80岁时,”贾古斯特说,“你已经失去了大约40%的多巴胺功能。仔细想想,老年人能做得这么好真是了不起。”
萎缩、多巴胺耗竭和树突连接的丧失并非衰老大脑面临的唯一问题。髓鞘(一种绝缘神经元的物质)会退化,中枢神经系统中传递信息的神经纤维数量也会减少。化学问题——例如钙电导增加,这可能会损害神经元通讯——在老年大脑中也变得更加普遍,基因表达和蛋白质产生的问题亦是如此。
随着全球80岁以上人口预计到2050年将增加四倍,达到近4亿,衰老的大脑将成为人类越来越大的难题。以下是随着年龄增长而趋于衰退的四种认知系统。习惯这些变化吧。未来你会看到更多这样的变化。
1. 感官
我们的学习和记忆能力受限于感官的准确性,即我们与世界的接触点。但视觉、听觉、触觉、嗅觉和味觉不仅仅是探测系统。感觉器官还包含一种原始的记忆,一种大脑的临时存储系统或“缓冲器”。我们感觉器官的大部分输入在感受器中回荡,这种回荡甚至允许微弱的刺激——例如,快速闪过的图像,我们没有意识地察觉到它们——影响我们以后做出的决定。如果没有感觉器官的缓冲能力,很多关于世界的信息就会对我们来说丢失。不幸的是,随着年龄的增长,我们的感官系统会退化,极端情况下,我们对各种输入会变得完全不敏感。例如,我们年轻时仅需30分贝就能检测到的高音,老年人需要将其提高到震耳欲聋的90分贝才能听到。(物理爱好者注意:这大约是能量强度的百万倍。)而且瞳孔大小会随着年龄增长而减小,所以在昏暗的环境中,老年人的眼睛只能接收到壮年人大约三分之一的光线。由于感觉器官的退化限制了我们获取关键信息——言语、文本、音乐、路标——思考本身也受到损害。
信息丢失只是问题的一部分。心理学家莫妮卡·法比亚尼和她在伊利诺伊大学香槟分校的同事们进行的研究表明,对于老年人来说,主要问题可能不是感觉器官拒绝输入,而是大脑本身难以过滤掉无关信息。在最近的一项研究中,法比亚尼让不同年龄的人一边读书,一边尝试忽略通过耳机播放的听觉音调。总的来说,年龄越大的人,越难忽略这些音调。“背景刺激可能会用无关紧扰乱你的思维,而且你无法抑制它们,”法比亚尼说。结果是,“你基本上失去了执行任务的能力。”
2. 记忆
大多数人认为人类记忆是一个单一的系统。但由于不同类型的信息以不同方式保留,专家推测大脑中存在着不同类型的记忆系统。有些信息只在我们这里停留很短的时间——通常不超过几秒钟,除非我们对其进行某种处理。例如,如果有人告诉你一个电话号码,而你没有立即重复它,它很可能会消失,再也不会回来。研究表明存在一个短期记忆系统,该系统又由两个子系统组成:即时记忆(一种临时存储系统,用于保存我们没有以某种方式处理的信息)和工作记忆(一种允许我们只要持续使用信息就能保留信息的系统)。
随着年龄的增长,我们在工作记忆中处理新信息的能力受到严重损害。在评估工作记忆的典型测试程序中,弗吉尼亚大学的认知衰老研究员蒂莫西·萨尔豪斯要求人们进行算术运算,同时还要记住每个问题的最后一个数字。二十多岁的人通常能够连续解决四五个这样的问题,并且仍然能准确回忆起最后一个数字。随着年龄每增加十年,表现就会恶化;七十多岁的人通常只能连续解决不超过两个这样的问题,并且仍然能记住最后一个数字。
评估记忆最简单的方法之一是向测试对象念一份单词列表,并在短时间后要求他们尽可能多地重复。在1990年的一项研究中,哈斯克·戴维斯和他在科罗拉多大学的同事发现,二十多岁的人通常在短暂延迟后能回忆起15个单词列表的90%。随着年龄每增加十年,回忆的单词百分比就下降。八十多岁的人只能回忆起大约一半的单词。
3. 知识
我们短期记忆系统中的某些信息会巩固到长期存储系统中,在那里它可以被检索数月或数年。如果对任何事物的记忆,从一顿美餐到同事的名字,持续了5年,那么它很有可能再持续40年。但随着年龄的增长,感官和工作记忆系统的退化使我们越来越难以将信息传输到长期存储中。这就是为什么,如果你超过50岁,你更有可能记住披头士乐队歌曲的歌词,而不是你过去20年听过的任何歌曲。换句话说,我们学习新事物的能力在我们年轻时是超常的,并在青少年时期达到顶峰。之后我们也可以学习,但会变得越来越困难。在心理学家珍妮·吉尔伯特早期的一项研究中,不同年龄的英语使用者被要求学习土耳其语词汇。六十多岁的人比花费同样时间和精力的二十多岁年轻人少学习了60%的单词。
随着年龄增长,我们最令人沮丧的经历之一是从长期记忆中提取某个特定的词汇——即所谓的“找词”或“话到嘴边”问题。波莫纳学院研究这一现象20多年的心理学教授黛博拉·伯克解释说,老年人存在词义与词音之间的脱节——词义“大概会告诉你现在说这个词是正确的”——而词音则不同。她说,这是老年人报告的“最令人恼火和不安的认知问题”。我们不知道导致这种脱节的原因。
4. 智力
随着年龄的增长,我们也会变得更笨。智商(IQ)保持相当稳定,那是因为它是一个相对衡量标准——一个商数(Q),表示我们相对于同龄人的位置。问题在于,智力测试的原始分数实际上在青少年时期达到顶峰,保持几年高水平,然后在一生中下降;智商保持相当稳定只是因为人们以大致相同的速度下降。是的,即使是天才也会下降。我最近问84岁的诺贝尔奖得主詹姆斯·沃森,他何时达到智力巅峰,他回答说:“二十岁,也许二十一岁——肯定是在我们发现DNA结构之前。”那项开创性工作是在他25岁时完成的。
智力,就像记忆一样,分为不同类型,其衰退方式也略有不同。事实信息是所谓的晶体智力的基础,我们获得的大部分晶体知识至少在六十多岁之前都能保持相当强的水平。然而,流体智力——我们的推理能力——在大多数人身上会急剧下降,很大程度上是因为我们变得迟钝了。一般来说,在涉及推理的任务中,一个20岁的人大约半秒钟就能完成的事情,一个健康的80岁老人需要两秒多——如果他或她能做到的话。正如哈佛医学院的道格拉斯·鲍威尔在他最近的著作《衰老的智力》中所说:“在成年阶段,没有任何其他单一的心智能力像处理速度一样迅速下降。”
神经科学家将推理和工作记忆的下降归结为一个总括性概念,称为执行功能。大脑中的某个地方似乎有一个教练:一个系统或结构,负责安排和优先级,获取资源,重新定向注意力,或根据需要切换任务。旧金山加利福尼亚大学的神经学教授亚当·加扎利已经进行了研究,记录了这种指导能力如何随着年龄的增长而下降。例如,加扎利说,老年人多任务处理能力差,因为他们在任务中断后难以将注意力重新集中到任务上。平均而言,七十多岁的人通常需要年轻成年人两倍的时间来同时处理两件事,并且他们在任务中也更容易出错。这种无法集中的能力会带来影响。“我今天无法做开创性的工作,”88岁的著名物理学家弗里曼·戴森最近告诉我。戴森说,他年轻时可以连续一周专注于一个问题。“今天,”他说,“我每天只能进行两个小时的认真工作——这还不够。”
这四个系统的退化似乎是正常、健康衰老不可避免的一部分,尽管衰退速度因人而异(参见第50页“一些大脑如何保持敏锐”)。如果再加上疾病,情况就真的黯淡了。85岁以上美国人中有一半患有阿尔茨海默病,这种疾病最终会剥夺人们的记忆、身份,甚至最低限度的生活能力。阿尔茨海默病随着年龄增长变得越来越普遍——如此普遍以至于加州大学洛杉矶分校的神经学家加里·斯莫尔认为,如果我们都能活到110岁,我们都会患上这种病。这些是我们和我们所爱的人步入老年时必须面对的残酷真相。
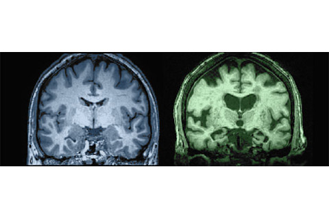
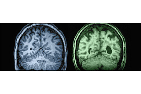
扫描图的故事:衰退中的大脑
大脑会随着年龄的增长而萎缩,导致各种各样的缺陷。俄勒冈健康与科学大学的神经科学家杰弗里·凯利用核磁共振扫描(如下图所示)来追踪这一过程。他说,萎缩发生在血流量减慢时,减少了大脑细胞可用的氧气和营养物质。这导致滋养和修复神经元的能力下降,并伴随认知能力下降。——艾玛·布莱斯

蛛网膜下腔 左图:27岁大脑 头骨与大脑之间的空间在年轻时紧密。 右图:87岁大脑 神经元网络萎缩,空间变宽,心理处理速度减慢。

脑室 左图:27岁 充满脑脊液的脑室缓冲大脑;年轻时它们狭窄。 右图:87岁 脑室随灰质萎缩而扩大;执行功能下降。

白质束 左图:27岁 由神经纤维和神经胶质细胞组成的神经通路高效传输信号。 右图:87岁 神经胶质细胞随年龄萎缩,扰乱信号传输并导致认知能力下降。所有图片均由俄勒冈大脑衰老研究中心、波特兰退伍军人医疗中心和俄勒冈健康与科学大学提供。 一些大脑如何保持敏锐
面对阿尔茨海默病这个老年大脑退化最具毁灭性和普遍的表现,忧心忡忡的婴儿潮一代催生了大量大脑健身书籍和服务。这对出版商、维生素公司和电脑游戏设计师来说是个好消息,但对婴儿潮一代本身来说可能不是好消息。南加州大学的老年病学家伊丽莎白·泽林斯基告诉我,她对市场上“奇迹疗法”的爆发感到震惊,并直言不讳地补充道:“没有证据表明任何东西有效。”(确实有一些证据表明某些干预措施在非常狭窄的范围或短时间内有效,但总的来说,这个新行业提出了夸大的主张。)而且,不要屏息等待神经科学将你从即将到来的衰退中拯救出来。当我问诺贝尔医学奖得主、神经科学家埃里克·坎德尔,我们还需要多长时间才能对记忆的实际运作方式有合理的理解时,他回答说:“一百年。”
从好的方面看,一些人似乎通过招募新的大脑系统或结构来接管旧功能,从而克服了大脑腐朽的破坏。哥伦比亚大学内外科医学院的神经心理学家雅科夫·斯特恩指出,有超过25%的人在生前功能完全正常,但在尸检时却显示出严重的阿尔茨海默病迹象。受教育程度较高的人患痴呆症的比例较低,这表明接受更多锻炼的大脑会建立储备,当前线系统开始失效时,这些储备就会启动。
坎德尔,现年82岁,似乎是那些设法抵御时间老人侵蚀的稀有灵魂之一。他仍然活跃在哥伦比亚大学的研究中,他非凡的生产力和创造力体现在他2012年沉甸甸的著作《洞察力时代:从1900年维也纳至今,探寻艺术、心灵和大脑中的无意识》中。坎德尔的女儿,律师米努什·坎德尔推测,她父亲的清晰思维和充沛精力源于一种近乎狂热的健康饮食——主要是鱼——和规律的锻炼。“据我所知,他一直过着这种健康的生活方式,”她说,“而且他在这种生活方式流行之前就已经这样做了。”
通过运气、良好基因和健康生活方式的某种结合,似乎少数幸运儿能够保持思维敏锐直至老年。——R.E.













