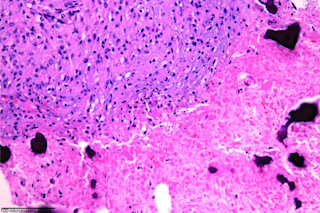
一张用该细菌治疗的染色犬类肿瘤照片。较浅的粉色区域表示肿瘤坏死。图片来源:约翰霍普金斯病理学系的 David L. Huso 和 Baktiar Karim 一种土壤中发现的细菌,在其自然状态下会引起食肉感染,经过一些基因改造后,已被转化为一种精准的肿瘤“刺客”。约翰霍普金斯大学 Kimmel 癌症中心的几位研究人员切除了细菌Clostridium novyi(梭状芽孢杆菌)的毒素产生基因。该细菌在自然状态下,一旦进入血液循环就可能致命。他们将改造后的细菌孢子直接注射到小鼠、犬类,并最终注射到一名人类患者的肿瘤中。在这三种情况下,孢子都发芽并释放出酶,从内部“吃掉”肿瘤,导致肿瘤大小显著减小或完全消灭,而不会损害健康组织。科学家们表示,有了这个概念验证,细菌注射疗法作为联合抗癌药物的治疗前景已大为改善。
以菌制菌
C. novyi 细菌之所以特别引起关注,是因为它只在缺氧环境中生长,这使其成为攻击肿瘤中缺氧细胞的理想选择。至关重要的是,细菌孢子在富含氧气的健康组织中不会发芽,因此其破坏力很容易得到控制。研究人员首先在实验中给大鼠植入了侵袭性脑肿瘤,然后用C. novyi 孢子注射进行治疗。在 48 小时内,孢子就杀死了肿瘤细胞,同时却能避开几微米之外的健康细胞。接受孢子治疗的大鼠在肿瘤植入后的平均寿命为 33 天,而未治疗的大鼠为 18 天。随后,研究人员在犬类身上测试了他们的疗法,因为犬类肿瘤在基因上几乎与人类肿瘤相同。他们用孢子治疗了 16 只患有自然发生肿瘤的犬类,其中 6 只的肿瘤大小显著缩小。三只犬类的肿瘤被完全消灭。在取得这一成功后,科学家们决定尝试对人类进行这种疗法。
人体试验
接受这种新型疗法的第一位患者是一名 53 岁的女性,她于 2006 年被诊断出患有腹部癌症,此后癌症已扩散至全身。研究人员靶向了她肩部的一个肿瘤,并将孢子治疗注射到她的肿瘤中。这次治疗并非一帆风顺:患者肩部出现剧烈疼痛,并伴有发烧,因为她的身体在与细菌搏斗。最终,她的肿瘤形成了一个脓肿,需要引流液体和碎屑。治疗两个月后,她的肿瘤显示出所有衰败迹象,没有发现持续感染的证据。然而,她的试验结果尚不完整,因为她仍在接受监测。研究人员本周在《*Science Translational Medicine*》期刊上发表了他们的发现。
展望未来
研究人员表示,C. novyi 的发展道路相当清晰。首先,他们需要进一步测试其在人体上的安全性和有效性。其次,他们希望找出其他可以单独使用,但能与细菌联合施用以提高疗效的抗癌药物和疗法。这是在与癌症的战争中,得益于一些微小的士兵取得的微小但充满希望的胜利。














