研究人员开发了一种基于聚合物的疗法,可在心脏病发作后注射,以帮助心脏组织愈合。他们在向老鼠施用该疗法后,证明了其长达五周的效果,他们在一篇发表在《Advanced Materials》杂志上的论文中报道了这一发现。
心脏病发作是美国的一个主要健康问题,每年约有80.5 万人患病——相当于每 40 秒就有一例。大约12%的心脏病发作患者会因此死亡。
“心脏病发作后预防心力衰竭仍然是一个重大的未满足的临床需求,”加州大学戴维斯分校的生物工程学教授、该研究的作者之一 Karen Christman 在一份新闻稿中说。“这项疗法的目标是在心脏病发作后尽快进行干预,以防止患者最终发展成心力衰竭。”
修复和保持心肌细胞存活
该疗法似乎从两个方面发挥作用。它会触发免疫系统以促进组织修复。它还有助于在心脏病发作后保持心肌细胞的存活。
该疗法采取了一种分子上巧妙的方法。注射的聚合物模拟了一种蛋白质,该蛋白质在应激和炎症反应中,会结合一种通常会启动降解组织过程的蛋白质。Nrf2 蛋白在细胞受压时会“开启”。但在某些严重情况下——如心脏病发作——另一种名为 KEAP1 的蛋白质会与其结合,细胞和组织会继续降解。研究人员注射到老鼠体内的类蛋白(PLP)模拟了 Nrf2。
阅读更多:心脏病发作后的损伤修复
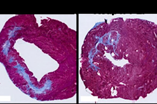
模拟心脏病发作
研究人员在模拟心脏病发作后细胞状况的老鼠身上测试了该聚合物。一组老鼠接受了 PLP 溶液治疗。另一组注射了生理盐水。研究人员不知道哪些老鼠接受了哪种注射。
五周后,研究人员对镇静后的老鼠进行了核磁共振成像。接受 PLP 注射的老鼠比接受生理盐水注射的老鼠表现出更好的心脏功能和明显更多的肌肉组织愈合。基因表达测试也表明,与对照组相比,接受 PLP 治疗的老鼠体内参与组织愈合的基因开启水平更高。
潜在的更广泛应用
研究人员强调,这项治疗仍处于概念验证阶段。他们接下来将尝试改进 PLP 的设计并确定不同剂量的效果。之后,他们将在大型哺乳动物身上进行测试。如果研究进展顺利,该疗法有望进入人体临床试验——这通常是一个漫长而艰难的过程。
然而,在加州大学圣地亚哥分校开发 PLP、现任西北大学教授的 Nathan Gianneschi 表示,如果这些测试成功,该疗法不仅可以用于治疗心脏病发作造成的损伤,还可以用于治愈多种类型的组织。
“这种治疗平台对于多种疾病具有巨大的潜力,包括从黄斑变性到多发性硬化症和肾脏疾病,”Gianneschi 在一份新闻稿中说。
本文不提供医疗建议,仅供参考。
文章来源
我们的Discovermagazine.com作家在文章中采用同行评审研究和高质量来源,我们的编辑会审阅科学准确性和编辑标准。请查看本文使用的以下来源
Advanced Materials。《靶向 Keap1/Nrf2 的类蛋白聚合物作为心肌梗死的治疗方法》
美国疾病控制与预防中心。《心脏病数据》
Healthline。《心脏病:事实、统计数据以及你》














